В Йошкар-Оле экзотической птице потребовалась операция
Функционирует при финансовой поддержке Министерства цифрового развития, связи и массовых коммуникаций Российской Федерации.

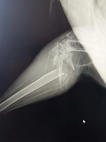
В Йошкар-Оле экзотической птице потребовалась операция

В Йошкар-Оле провели операцию экзотической птице. 

На Йошкар-Олинскую городскую станцию по борьбе с болезнями животных привезли фазана, который повредил лапку, когда его пытались поймать. Рентген показал, что у пернатого пациента - оскольчатый перелом голени. Ветеринарный хирург Юрий Волков провел операцию методом остеосинтеза на внешнем фиксаторе. 

Кстати, в январе "Марийская правда" рассказывала о том, что йошкар-олинские айболиты выходили найденного на улице, раненого ястреба. У него было сотрясение головного мозга и травма клюва. После того, как птица пошла на поправку, ее выпустили на волю за городом.

Фото Йошкар-Олинской станции по борьбе с болезнями животных



Коротко


Архив материалов

Март 2026
Пн Вт Ср Чт Пт Сб Вс
           
22
23 24 25 26 27 28 29
30 31          
Мы используем куки, в том числе в целях сбора статистических данных и обработки персональных данных с использованием интернет-сервиса «Яндекс.Метрика» (Политика обработки персональных данных). Если Вы не согласны, немедленно прекратите использование данного сайта.
СОГЛАСЕН
bool(true)